
These 7 natural remedies can prevent you from falling victim to gum disease
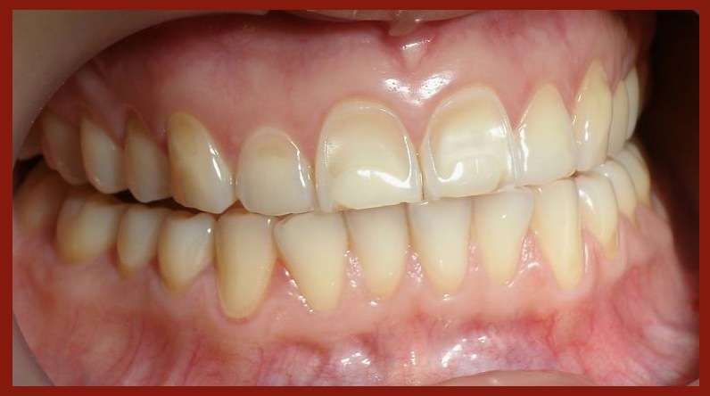
Gum disease is a silent but deadly killer that affects nearly 50 percent of adults age 30 and over. If left untreated, it can result in heart attacks, strokes, and diabetes, as well as impacts to the mouth including gums that slowly begin to pull away from the teeth, causing them to sometimes fall out. Read More

Will you lose your teeth because you don’t know how to floss? A shocking number of people floss incorrectly
As an American dentist once said, only floss the teeth you want to keep. According to one statistic, only 17 percent of adults even floss on a regular basis, but of those studious flossers, how many of them are actually doing it right? The “see saw” method of sawing the floss between the teeth could Read More

Dr. Oksana Sawiak discusses gum disease and what underlying infection may be causing this periodontal illness
Dr. Oksana Sawiak practiced clinical family dentistry for 42 years, from 1966 to 2008, with a focus on mercury-free, biological dentistry. She is known as a “Health Detective” due to her exhaustive efforts to look at the health challenges a person faces to discover the underlying cause of what may be creating “dis-ease” in a Read More